ON-SITE
AFTER HOURS ORTHOPEDIC
Image of patient getting physical therapy
Image of patient at urgent care
QUICK LINKS SPECIALTIES ABOUT DR LANDAU PATIENT REVIEWS OUTPATIENT JOINT REPLACEMENT MEDIA ROOM APPOINTMENT REQUEST CONTACT US
COPYRIGHT © MURPHY WAINER ORTHOPEDIC SPECIALISTS ALL RIGHTS RESERVED. WEB DEVELOPMENT BY A BETTER WEB, INC.

Dr. Landau Media Room

This page contains arthroscopic and radiography images of joint injuries and conditions, and the surgical repairs performed by Dr. Joshua Landau.
Arthroscopic image of an ACL tear Arthroscopic image of an ACL reconstruction
ACL Tear
ACL Reconstruction
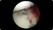
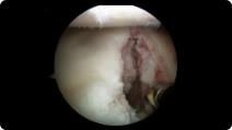
Arthroscopic image of a miniscus tear Arthroscopic image of a miniscus tear after knee arthroscopy
Miniscus Tear
After Knee Arthroscopy
Arthroscopic image of a bone spur Arthroscopic image of a removed bone spur
Bone Spur
Bone Spur Removed
Arthroscopic image of a shoulder dislocation Arthroscopic image of a repaired shoulder dislocation
Shoulder Dislocation
Shoulder Dislocation Repair
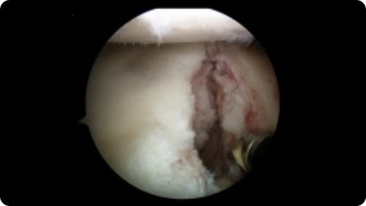
Arthroscopic image of a rotator cuff tear Arthroscopic image of a repaired rotator cuff
Rotator Cuff Tear
Rotator Cuff Repair

ARTHROSCOPIC IMAGES

RADIOGRAPHIC IMAGES

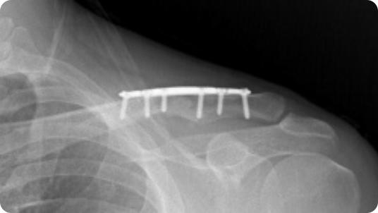
Radiographic image of a clavicle fracture Radiographic image of a clavicle ORIF (plate and screws)
Clavicle Fracture
Clavicle ORIF (Plate and Screws)
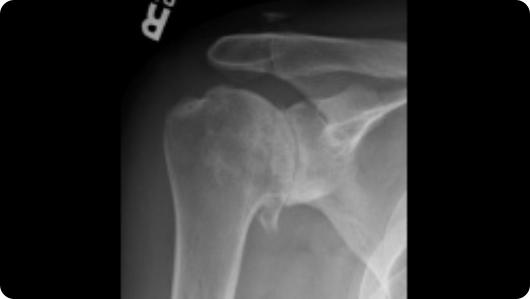
Radiographic image of shoulder arthritis Radiographic image of a total shoulder replacement
Shoulder Arthritis
Total Shoulder Replacement
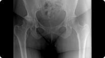
Radiographic image of hip arthritis Radiographic image of a total hip replacement
Hip Arthritis
Total Hip Replacement
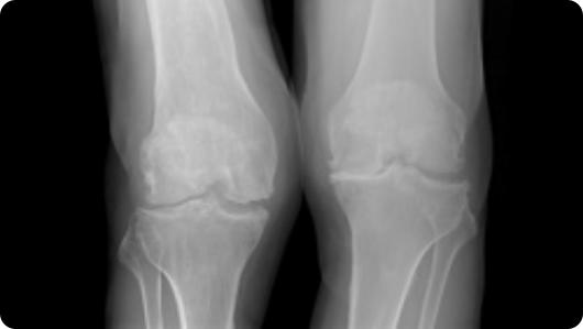
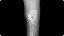
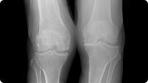
Radiographic image of knee arthritis Radiographic image of a total knee replacement
Knee Arthritis
Total Knee Replacement
A patient is sitting in a hospital bed and smiling. Her doctor is showing her an x-ray of her successful hip replacement.
ON-SITE
AFTER HOURS ORTHOPEDIC
Image of patient getting physical therapy
Image of patient at urgent care
COPYRIGHT © MURPHY WAINER ORTHOPEDIC SPECIALISTS ALL RIGHTS RESERVED. WEB DEVELOPMENT BY A BETTER WEB, INC.

Dr. Landau Media Room

This page contains arthroscopic and radiography images of joint injuries and conditions, and the surgical repairs performed by Dr. Joshua Landau.
A patient is sitting in a hospital bed and smiling. Her doctor is showing her an x-ray of her successful hip replacement.

ARTHROSCOPIC IMAGES

Arthroscopic image of an ACL tear Arthroscopic image of an ACL reconstruction
ACL Tear
ACL Reconstruction
Arthroscopic image of a miniscus tear Arthroscopic image of a miniscus tear after knee arthroscopy Arthroscopic image of a bone spur Arthroscopic image of a removed bone spur Arthroscopic image of a shoulder dislocation Arthroscopic image of a repaired shoulder dislocation Arthroscopic image of a rotator cuff tear Arthroscopic image of a repaired rotator cuff
Miniscus Tear
After Knee Arthroscopy
Bone Spur
Bone Spur Removed
Shoulder Dislocation
Shoulder Dislocation Repair
Rotator Cuff Tear
Rotator Cuff Repair

RADIOGRAPHIC IMAGES

Radiographic image of a clavicle fracture Radiographic image of a clavicle ORIF (plate and screws) Radiographic image of shoulder arthritis Radiographic image of a total shoulder replacement Radiographic image of hip arthritis Radiographic image of a total hip replacement Radiographic image of knee arthritis Radiographic image of a total knee replacement
Clavicle Fracture
Clavicle ORIF (Plate and Screws)
Shoulder Arthritis
Total Shoulder Replacement
Hip Arthritis
Total Hip Replacement
Knee Arthritis
Total Knee Replacement
Notice: All external links and PDFs will open in a new tab
External links and PDFs will open in a new tab